정확한 임테기 사용법, 알고 계신가요?
임신 여부를 가장 빠르게 확인할 수 있는 방법 중 하나가 바로 임신테스트기, 줄여서 '임테기'입니다. 하지만 정확한 결과를 얻기 위해선 임테기 사용법을 제대로 아는 것이 중요해요. 이 글에서는 올바른 사용 시점부터 주의사항까지, 꼭 알아야 할 정보를 정리해드립니다.

1. 임테기란 무엇인가요?
임테기란 소변 속의 인간 융모성 생식선 자극 호르몬(hCG)을 감지하여 임신 여부를 확인하는 도구입니다. 이 호르몬은 수정란이 자궁에 착상되면 분비되기 시작하며, 착상 후 약 6~10일 정도 지나야 소변에서 감지될 수 있어요. 따라서 임테기 사용법 중 가장 중요한 포인트는 '사용 시기'입니다.
2. 임테기 사용 시기
임신 여부를 확인하려면 최소한 생리 예정일 이후에 사용하는 것이 권장됩니다. 너무 이른 시점에 사용하면 hCG 농도가 낮아 정확하지 않은 결과가 나올 수 있기 때문이에요. 대부분의 제품은 생리 예정일 기준 2~3일 후부터 사용을 권장하고 있으며, 첫 소변을 사용하는 것이 가장 정확하다고 알려져 있어요.
3. 임테기 사용법 단계별 정리
임테기 사용법은 브랜드마다 약간의 차이가 있지만, 일반적으로 다음과 같은 순서로 진행됩니다.
1) 깨끗한 종이컵이나 전용 컵에 첫 소변을 받습니다.
2) 임테기의 흡수 부분을 소변에 약 5초간 담급니다. (또는 흡수면에 직접 소변을 볼 수도 있어요.)
3) 평평한 곳에 두고 3~5분 정도 기다립니다.
4) 결과 창에 줄이 하나인지 두 개인지 확인합니다.

한 줄은 음성(임신 아님), 두 줄은 양성(임신 가능성 있음)을 의미합니다.
단, 흐릿한 두 번째 줄은 착상 초기거나 제품 불량일 수 있으므로 2~3일 후 다시 확인하거나 산부인과 방문을 권장합니다.


4. 정확한 판독을 위한 주의사항
임테기 사용법을 제대로 따라도 실수로 인해 오진이 발생할 수 있습니다. 주의사항은 다음과 같아요.
▶ 유통기한이 지난 제품은 사용하지 마세요.
▶ 판독 시간(3~5분)을 넘기면 결과가 왜곡될 수 있어요.
▶ 소변을 너무 오래 흡수시키면 잉크 번짐이 생깁니다.
▶ 아침 첫 소변이 가장 정확한 결과를 제공합니다.
5. 임테기 사용 후 양성일 경우
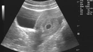
임테기 사용법에 따라 테스트한 후 양성이 나왔다면, 가장 정확한 확인을 위해 반드시 산부인과에 방문해야 합니다. 초음파 검사와 혈액검사를 통해 정확한 임신 여부와 주차를 확인할 수 있어요. 양성 판정은 임신 가능성을 높게 시사하지만, 드물게 화학적 임신이나 자궁 외 임신의 가능성도 있기 때문에 병원 진료가 꼭 필요합니다.
▶ 초음파에서 태아가 눈에 띄게 보이기 시작하는 시점은 보통 임신 6~7주차입니다.
하지만 개인마다 배란일이나 착상 시점 차이로 ±1주 정도 차이가 날 수 있어요. 그래서 생리 예정일이 지나고 2주 후쯤 산부인과를 방문하면 정확하게 확인할 수 있어요.
▶ 임신이 시작되었는지 빨리 확인하고 싶다면 임신4~5주차에 확인하세요. 임신낭이 보이는데 태아 자체보다는 임신이 시작되었음을 나타내는 첫 신호입니다.


6. 임신 주수 계산하기
생리 예정일에 임테기 두 줄이 뜨면 임신 몇주차인가요?
산부인과에서 말하는 임신 주수 계산법은 마지막 생리 시작일(LMP: Last Menstrual Period)을 기준으로 해요.
즉, 배란도, 수정도 되지 않은 시점부터 임신 1주차로 계산하는 거예요.
생리 예정일에 임테기에서 두 줄이 나온다는 건, 임신 4주차일 가능성이 높아요.
왜냐하면 마지막 생리 시작일 기준으로 4주 정도가 지났고
수정은 생리 후 약 2주째에 일어나기 때문에
임테기로 hCG 호르몬이 검출될 시점은 보통 임신 4주차예요.
마무리하며
임신 여부는 누구에게나 중요한 문제이기 때문에, 정확하고 신중한 확인이 필요합니다. 임테기 사용법을 정확히 이해하고 올바르게 사용하는 것만으로도 혼란을 줄일 수 있어요. 불확실한 결과가 나올 경우에는 무리하게 반복 테스트하기보다는 전문가의 도움을 받는 것이 가장 현명한 방법입니다.
이 글이 임테기 사용법에 대해 궁금했던 분들께 도움이 되었기를 바랍니다. 필요한 정보를 꼼꼼히 확인하고, 조급함보다는 정확함을 우선으로 생각해보세요.
임신 초기 증상: 초기증상, 증상이 나타나는 시기
임신 초기 증상아무렇지 않던 평소와는 달리, 갑자기 몸이 조금 이상하게 느껴졌던 어느 날이 있었어요. 피곤함이 쉽게 가시지 않고, 가슴이 묵직하게 아프면서 미묘하게 메스꺼운 느낌이 계속
wintheway1.com
'생생 건강 정보' 카테고리의 다른 글
| 닥터나우 비대면 진료받기: 사용 방법, 진료 가능 과목, 주의사항 (3) | 2025.03.27 |
|---|---|
| 임신 초기 증상: 초기증상, 증상이 나타나는 시기 (0) | 2025.03.26 |
| 해외여행 전 홍역 예방접종 체크리스트 (4) | 2025.03.25 |
| 건강검진 전 약 복용: 혈압약·당뇨약·항응고제 주의사항 정리 (0) | 2025.03.25 |
| 홍역, 어른도 다시 맞아야 할까? 증상, 예방접종, 항체검사 비용 (1) | 2025.03.25 |